Pular para o conteúdo
Pré-marcação de consulta
Sobre nós
Tratamentos
Equipa
Casos clínicos
Conselhos Saúde Oral
Acordos
Contactos
Menu
Sobre nós
Tratamentos
Equipa
Casos clínicos
Conselhos Saúde Oral
Acordos
Contactos
Início
»
Casos clínicos
»
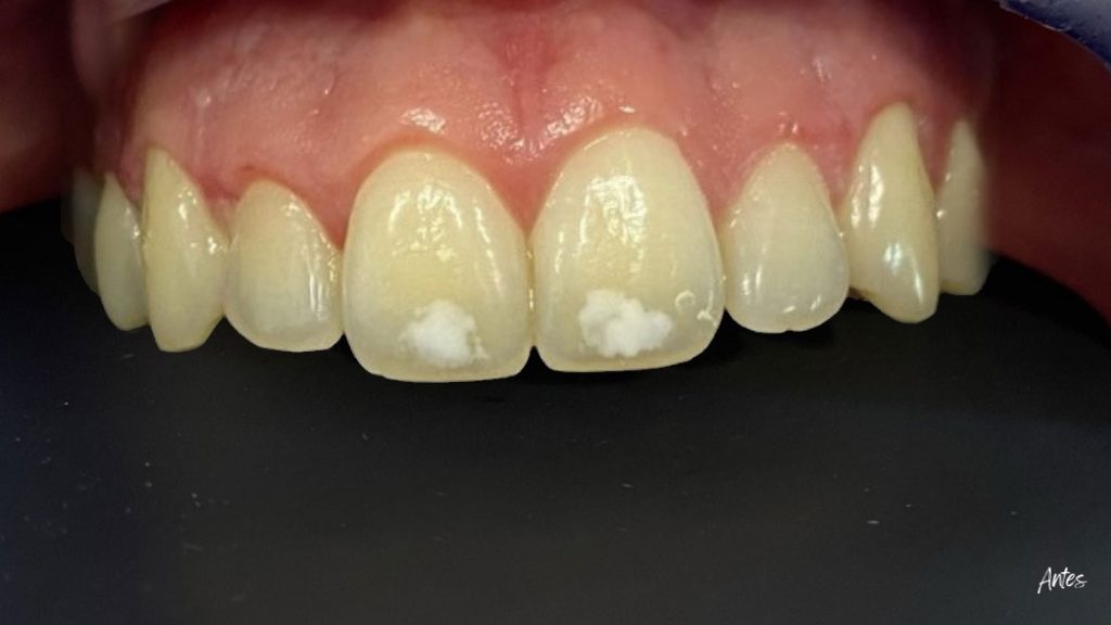
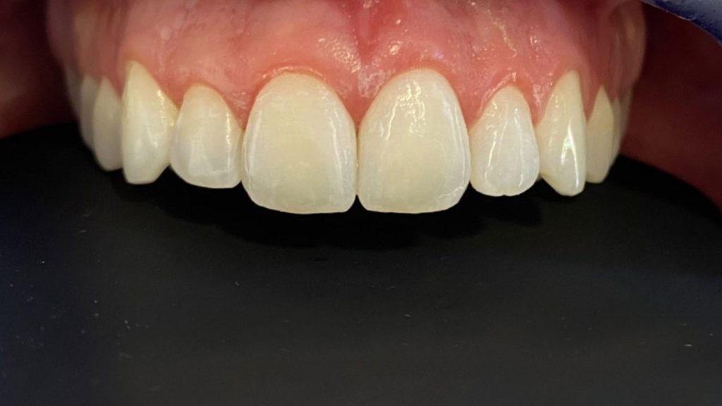
Ikon
Ikon
Caso Clínico 1