Pular para o conteúdo
Pré-marcação de consulta
Sobre nós
Tratamentos
Equipa
Casos clínicos
Conselhos Saúde Oral
Acordos
Contactos
Menu
Sobre nós
Tratamentos
Equipa
Casos clínicos
Conselhos Saúde Oral
Acordos
Contactos
Início
»
Casos clínicos
»
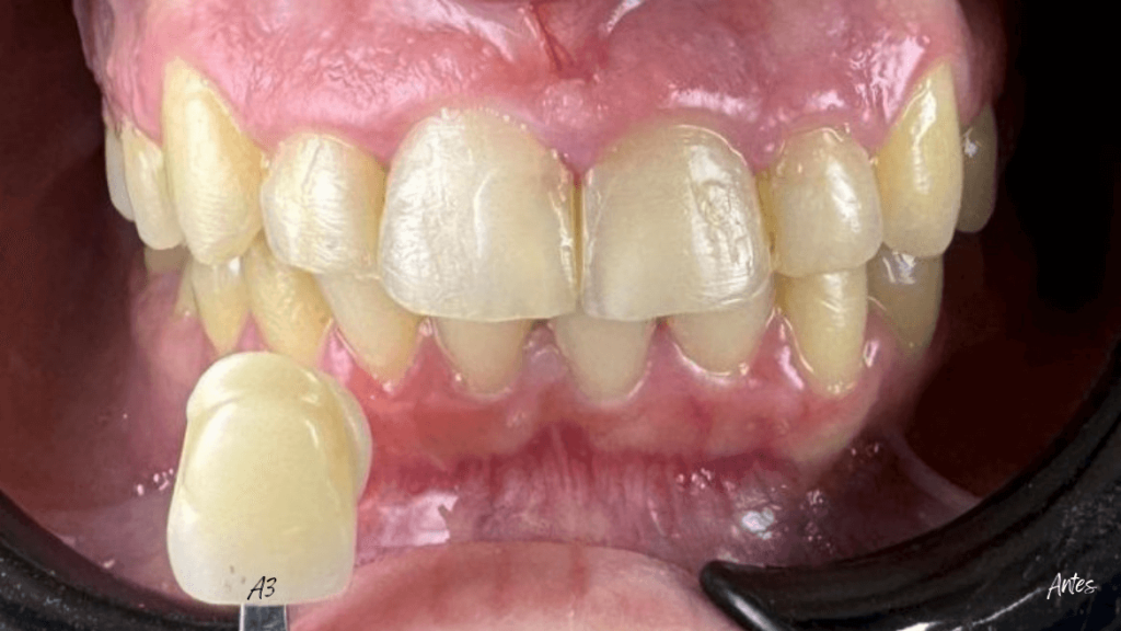
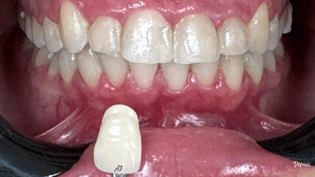
Branqueamento Philips Zoom
Branqueamento Philips Zoom
Caso Clínico 1
Caso Clínico 2