All on 4 | All on 6

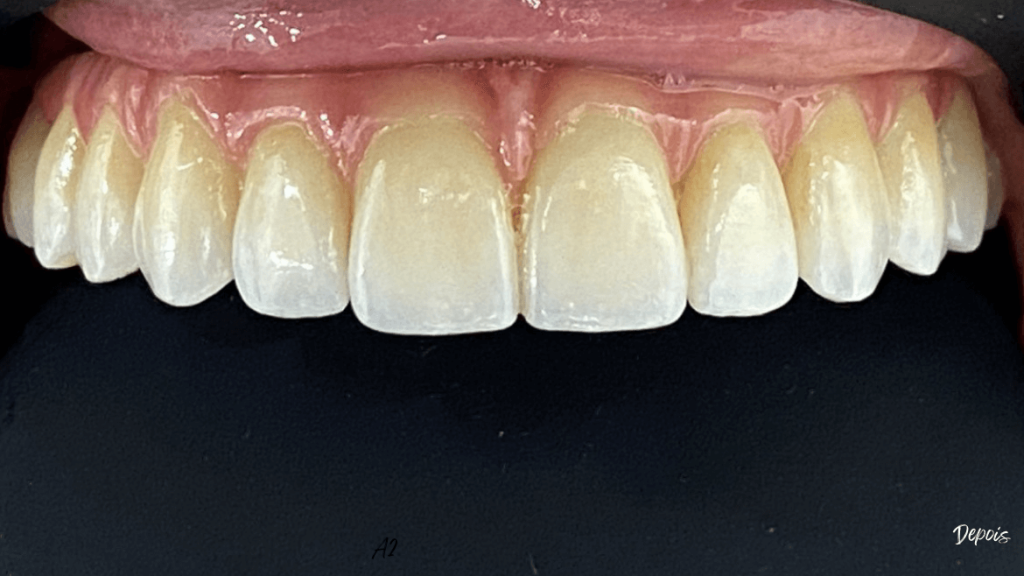
Caso Clínico 1

Antes Depois

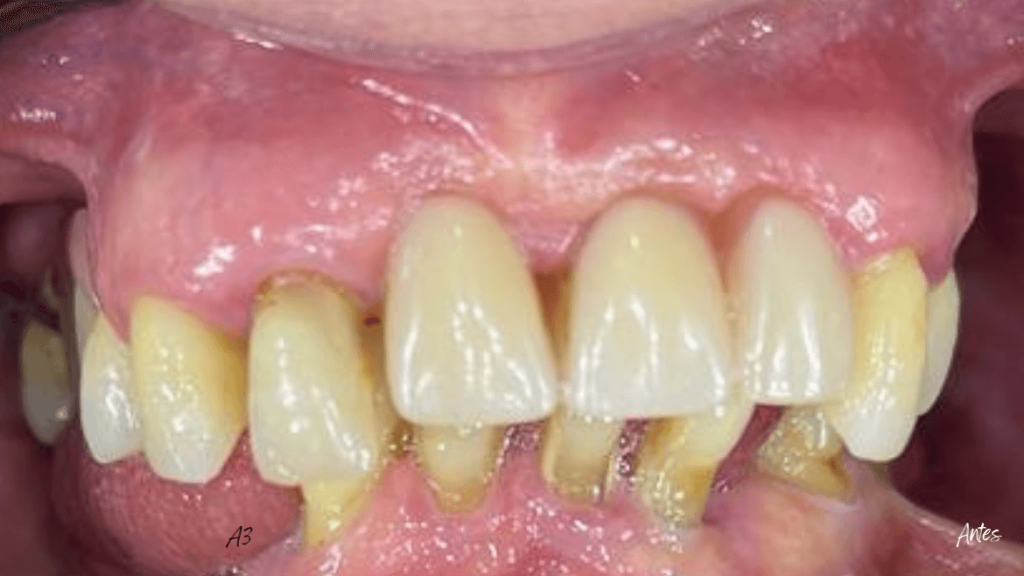
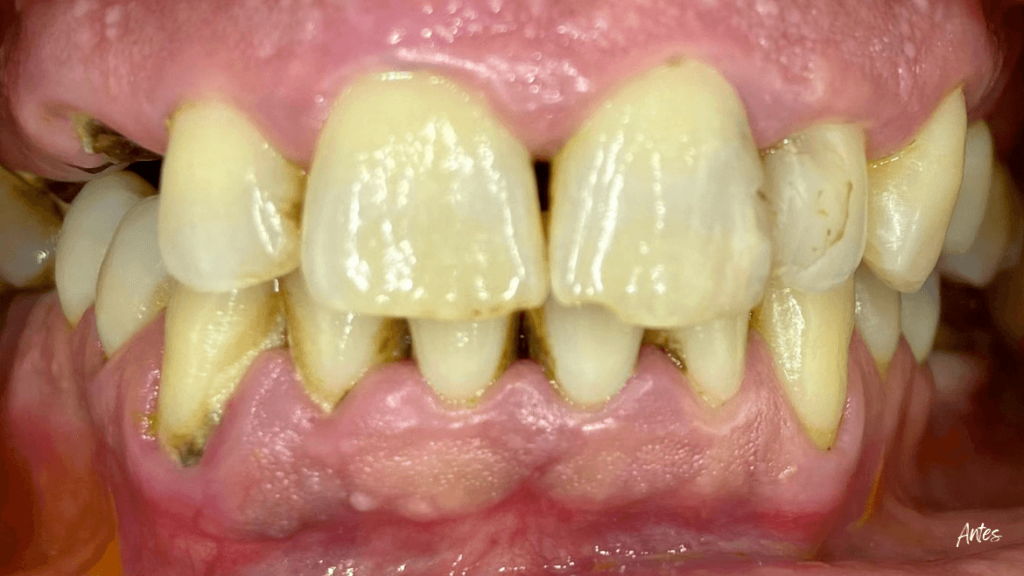
Caso Clínico 2

Antes Depois